EXAME DO DETRAN: O QUE EU PRECISO SABER?
O teste do Detran, seja para tirar a primeira carteira de motorista ou para fazer a renovação da carteira, utiliza-se da tabela de Snellen. É uma tabela, desenvolvida em 1862 por um holandês chamado Snellen, que leva em consideração uma distância de 20 pés ou 6 metros entre o paciente e o objeto que ele terá que visualizar.
![]() |
| Tabela de Snellen |
Além disso, o teste de Snellen também é conhecido como teste de acuidade visual, medida do grau ou refração. Muito utilizado, além de ser o exame de visão mais comum. Tem como objetivo verificar o quanto a pessoa pode enxergar e avaliar se há indícios de miopia, hipermetropia e astigmatismo, por meio de uma escala de letras.
Para que o motorista seja aprovado no exame de visão do Detran, ele precisa passar no teste visual de acordo com a categoria da carteira de motorista e provar que sua visão é suficiente para dirigir com segurança e evitar acidentes.
Acuidade visual para longe medida através da tabela de Snellen, representa a capacidade de ler letras, números ou símbolos a uma certa distância. Pode ser com ou sem óculos. Categorias do tipo C, D e E têm uma exigência maior.
Categoria A (moto)
Categoria B (carro de passeio)
AV igual ou superior a 20/40 em cada um dos olhos ou igual ou superior a 20/30 no melhor olho. Visão periférica de campo visual horizontal igual ou superior a 60 graus, 120 em cada um dos olhos ou igual ou superior a 120 graus em um olho.
Categoria C (veículos de carga acima de 3,5 toneladas)
Categoria D (veículos com mais de 8 passageiros)
Categoria E (veículos com unidade acoplada acima de 6 toneladas)
AV igual ou superior a 20/30 em cada um dos olhos ou AV superior a 20/30 em um olho e igual ou superior a 20/40 no outro olho. Visão periférica de campo visual horizontal igual ou superior a 120 graus em cada um dos olhos.
Por motivos de segurança, algumas restrições podem ser impostas pelo médico de tráfego e irão constar no verso da carteira, como:
“Obrigatório o uso de lentes corretivas”, óculos ou lentes de contato, letra “A”
“Vedado dirigir após o pôr do sol”, letra “U”
“Obrigatório o uso de viseira protetora sem limitação de campo visual”, letra “V” (indicado para motociclistas que perderam a visão de um dos olhos com menos de 90 dias)
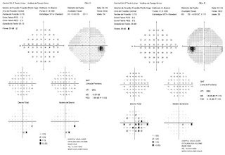
Campo visual - Através de um equipamento que emite luzes laterais, avalia-se a capacidade de percepção de veículos e objetos que estejam ao seu redor.
![]() |
| Campo Visual |
Teste de ofuscamento - Representa a capacidade em recuperar a visão após ser confrontado por uma luz forte, principalmente útil para testar condições de visão noturna.
![]() |
| Teste de sensibilidade ao contraste |
Teste de cores -O mais importante é conseguir distinguir as cores do semáforo: verde, amarelo e vermelho. Pequenas confusões com cores, chamadas de daltonismo leve, não são limitadoras.
![]() |
| Teste de visão de cores |






Comentários
Postar um comentário